UNSER SCHWANGERSCHAFTSTAGEBUCH B-Wurf - Bitteschön, nehmt Teil am wundervollen Wunder des Lebens:
Bevor ich mit mein Trächtigkeitstagbuch starte, möchte ich gerne noch etwas sagen:
Viele Menschen lesen diese Zeilen, um Unterstützung für Ihre Zucht zu erhalten. Ich freue mich wirklich, dass ich Euch unterstützen kann.
Inzwischen höre ich aber immer wieder, daß einige Menschen dadurch meinem Weg folgen und Reico bestellen. Bitte tut dies. Ich empfehle es wirklich aus tiefster Überzeugung. Und die Erfahrung bestätigt mich täglich. Bringt bitte Gesundheit in Eure Tiere und Euer System.
Aber meldet Euch dafür bitte bei mir.
Ich leiste hier diese Arbeit, alles zu teilen und zu verschenken. Wir sind alle selbständige Vertriebspartner bei Reico. Ruft mich an, kommt zu mir und lasst Euch beraten oder kommt in mein Team. Für einen lebendigen liebevollen Kontakt, ein gesundes Hunde- und Katzenleben lang.
3.1.2012, 1.Tag: Wilma wurde heute erfolgreich von Ouzo, alias Carrycot Sonny, gedeckt. (siehe Deckrüde Ouzo)
Das Decken war ein schneller, natürlicher Vorgang, mit hoffentlich kleinen, bunten Folgen.
Rein rechnerischer Geburtstermin - so die Natur will - ist Montag, der 5.3.2012, am 63. Tag! Abgabe der Welpen ist dann ca. Mitte Mai 2012.

Ouzo

Wilma & Ouzo nach dem Liebesakt
Ouzo ist ein absoluter Plüschbär mit einem ruhigen, zufriedenen Gemüt. Es machte Spass, Wilma und ihn gemeinsam zu erleben! Die beiden waren die ganze Zeit zuckersüß miteinander. Ouzos Fell hat übrigens wirklich einen ausgesprochen schönen Goldton. Auf den Fotos ist das durch den Blitz nicht zu sehen. Seine Farbe ist auch nach dem Erwachsenwerden nicht aufgehellt, sondern den gleichen herrlichen Farbton behalten.
Körperlich passiert bei Wilma im Moment hoffentlich Folgendes:
Ouzos Sperma wandert außerhalb der Gebärmutterschleimhaut zu den Eileitern. Dort bleiben seine Spermien bis zu 24 Stunden befruchtungsfähig.
Wilma ist heute Abend ziemlich fertig und geschafft. Ob das vom Decken, oder der langen Reise nach Bremen per Bahn, incl. der 1000 Eindrücke kommt...???
4.1.2012, 2.Tag: Wilma hat heute ihr Liebesdate mit Ouzo wiederholt, um die Chance einer tatsächlichen Befruchtung zu erhöhen. Das Decken hat wieder schnell, absolut natürlich und wunderbar geklappt.
Damit ist unsererseits das Mögliche getan und nun darf die Natur entscheiden, ob es mit Wilmas Wunder dieses Jahr klappen darf! Jetzt heißt es warten und beobachten, Däumchen drehen und hoffentlich bald freuen...
Wilma selbst ist im Moment wirklich in einer sehr sehr heissen Phase der Läufigkeit. In der Bahn wollte sie schon eine winzige, overdresste Chihuaua-Hündin im Tigerkostüm von sich überzeugen...Was wäre das wohl geworden? Havanauaua???

Ouzo
Ouzos Spermien sollten heute und morgen Wilmas Eileiter erreichen, in denen sich ihre reifen Eizellen befinden.
5.1.2012. 3.Tag: Wilma geht es wunderbar. Sie ist bester Dinge. Sicherlich merkt sie noch gar nichts von den Vorgängen in ihrem Körper.
Heute und morgen werden die Eizellen in den Eileitern befruchtet. Wieviele es wohl sind???
6.1.2012, 4.Tag: Da ist schon so einiges Heimliches los in Wilma: Die befruchteten Eizellen wandern bis zum 6. Tag in den Gebärmutterhals.
Heute morgen hat sich Wilma übergeben. Eigentlich kann es mit den hormonellen Umstellungen einer Schwangerschaft noch nichts zutun haben. Aber ich möchte es trotzdem nicht versäumen, hier anzumerken.
8.1.2012, 6.Tag: Ab heute muss Wilma mit Schleppleine spazieren gehen. Da sie während ihrer letzten Schwangerschaft eine Wesensänderung zeigte, die sich 2x in absoluter Vorsicht gegenüber fremden Hunden und Weglaufen äußerte, möchte ich dem diesmal mit Kontrolle begegnen.
Die Devise ist: lieber ein Mal mehr angeleint, als ein Mal zu wenig!!!
10.1.2012, 8.Tag: Die Zeit rennt. Die erste von neun Wochen liegt schon hinter uns. Wilma zeigt sich unverändert und ist so lustig wie immer.
Zwischen dem 8.-12.Tag entwickeln sich die Eizellen zu Blastocyten. (Blastocyten sind noch nicht voll entwickelte embryonale Zellen.)
12.1.2012, 10.Tag: Alles wie immer im Hause Blatzheim, fast so, als wäre nichts Besonderes passiert.
Oh weh, aber es fängt für uns schon an, aufregender zu werden: Wir warten sekündlich auf irgendwelche eindeutigen Veränderungen und dabei kann man sich ja sooo viel einbilden...!
8.33 Uhr: Gerade hat sich Wilma übergeben. Sollte dies eines unserer sehnsüchtig erwarteten Trächtigkeitszeichen sein...?
14.1.2012, 12.Tag: Die Embryos erreichen bis zum 14. Tag die Gebärmutter.
Wilma lächelt, tobt und frisst wie immer...
16.1.2012, 14.Tag, letzter Tag der 2. Woche: Da sich die Embryos jetzt anfangen in der Gebärmutter einzunisten, kann es durch die Hormonumstellung zu Übelkeit bei Wilma kommen.
Bis jetzt ist nichts Auffälliges an ihr zu entdecken. Sie ist so selbstbewußt und souverän wie immer.
17.1.2012, 15.Tag: Bis zum 22. Tag setzen sich die Blastocyten in der Gebärmutterwand fest und bilden embryonale Bläschen.
Ab dem 21. Tag sondern viele Hündinnen klarflüssigen Schleim ab. Das ist das 1. sichere Zeichen für eine Schwangerschaft. Wir dürfen bei Wilma jetzt darauf warten...
18.1.2012, 16.Tag: Wilma ist wie immer. Da ist nichts zu merken von Unsicherheit wie beim letzten Mal.
Sie ist einfach sie selbst.
Ist sie jetzt ein "alter Hase", der weiß, worum es bei einer Schwangerschaft geht? Oder hat es gar nicht geklappt?
Das ist schon irritierend, wenn die Zeit vergeht und nach Außen nichts passiert. Die Spannung steigt!
21.00 Uhr: Also, sie liegt ziemlich viel platt auf ihrem Bauch. Aber vielleicht hat sie das ja schon immer getan...?

schwanger?
21.1.2012, 19.Tag: Wilma spuckt.
22.1.2012, 20.Tag: Wilma spuckt stetig. Und sie ist jetzt doch irgendwie anders. Sie ist müder, ruhiger, fauler.
Klingt doch alles super, oder? Hormongeschwängertes, ouzogeschwängertes Wilmchen...
23.1.2012, 21.Tag: 3 Wochen schwanger. Wilma ist souverän und selbstbewußt. Dies scheint wirklich anders zu sein, als letztes Mal. Wegen ihrer regelmäßigen "Spuckattacken" tut sie uns sehr leid. Das sind wirklich sehr unangenehme Schwangerschaftsbegleiterscheinungen...
In Wilmas Bauch hat jetzt jeder Embryo seinen festen Platz. Die Ausbildung der Plazenta beginnt. Ab morgen sind die Embryonen sogar schon sichtbar...!
Wilmas aktueller Bauchumfang, gemessen ab dem Ende des Rippenbogens: 40cm.
24.1.2012, 22.Tag: Start der 4. Woche. Die Augen und die Nervenstränge im Rückenmark werden gebildet. Die allgemeine Organausbildung beginnt. Im Moment entwickelt sich sehr viel Wichtiges und die Embryonen bedürfen jetzt einen ganz besonderen Schutz. Die Entwicklung von Wilmas Zitzen beginnt.
Dies entspricht alles Wilmas Wunsches nach mehr Ruhe...Sie vollbringt im Moment eine sensationelle Leistung.

Süße Wilma-Blümchen
25.1.2012, 23.Tag: Wilma ist sehr anhänglich. Jeder Blick von uns wird genutzt und als Aufforderung zur Schmuseeinheit verstanden. Wenn sie auf dem Bauch liegt, sieht ihr Rücken aus, wie der eines Dinosauriers. Sie zieht die Hinterbeine unter den Bauch beim Liegen. Alles wächst, rückt sich zurecht. Wilma ist innerlich sehr beschäftigt...
Was sich da in rasender Geschwindigkeit entwickelt, ist nur zu erahnen. Etwas Großes entsteht - das Wunder des Lebens.
26.1.2012, 24.Tag: Wilma frisst schlecht.
27.1.2012, 25.Tag: Wilma hat wieder ihren Blümchenblick. Was er sagt? In Hundegedanken...? Tja? Als Menschenblick: "La,la,la, die Welt ist schööön." (Oder so ähnlich)
Bauchumfang aktuell: 42cm, Gewicht: 7 Kilo.
19.00 Uhr: Wilma frisst gar nichts mehr...
28.1.2012, 26.Tag: Die Zeit rennt - kommt uns zumindest so vor. Der Ultraschalltermin rückt näher...
Zwischen dem 26.-30.Tag wachsen die Embryonen auf die Größe einer Walnuss. Sie sind jetzt gleichmäßig im Uterus verteilt.
Wir schauen inzwischen fast jeden Tag in unser Archiv, um zu vergleichen, was Wilma letztes Mal gemacht hat...
Heute macht sie macht einen zufriedenen, ausgeglichenen Eindruck.
29.1.2012, 27.Tag: Nach einem wunderschönen Elbspaziergang durch Eis und Schnee liegen alle Hunde zufrieden schnarchend in ihren Körbchen. Wilma ist fit und wohlauf wie immer. Sie frisst allerdings immer noch nichts, außer ein paar Leckerchen unterwegs!...noch 5 Tage bis zum Ultraschalltermin...
30.1.2012, 28.Tag: Bei rohem Herz im Napf kann Wilma sogar ihre Schwangerschaftsübelkeit vergessen...Das geht rein!
...noch 4 Tage bis zum Ultraschall...
31.1.2012, 29.Tag: Start der 5. Woche. Wilma ist fröhlich. Zehen, Krallen und Barthaare beginnen sich zu entwickeln.
...noch 3 Tage bis zum Ultraschall...
1.2.2012, 30.Tag: Optisch ist bei Wilma alles wie immer. Sie rennt, sie tanzt, sie spielt mit Adele. Das kann ganz schön irritieren, wenn man bedenkt, wie groß die Embryonen bis heute sein sollen. Walnussgroß? Die spielen wohl in Wilmas Bauch verstecken...?...noch 2 Tage bis zum Ultraschall...
2.2.2012, 31.Tag: Wollen wir Bergfest feiern? Letztes Mal hat Wilma ihre Kinder am 62.Tag bekommen. Naja, vielleicht warten wir doch lieber bis morgen, bis zum heissersehnten Ultraschalltermin!
Heute Abend hat Wilma einen Termin in Josephinchens Friseurstübchen. Tja, leider müssen die Haare am Bauch ab. Damit der Schall auch eine Chance hat. Ab Morgen geht Wilma dann bei hiesigen -10° im Mäntelchen raus...
(Jetzt darf ich es ja schreiben, nachdem der Ultraschall es bestätigt hat: wir haben beim Frisieren und Streicheln schon diverse Fruchthüllen fühlen dürfen.)
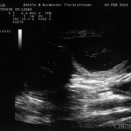
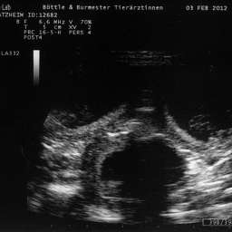
3.2.2012, 32.Tag: Der Ultraschalltermin ist vollbracht: Juhu, wir werden Eltern!!!
Aus Herzklopfen wurde Herzrasen und dann endlich, kurz vor der Herztablette, zeigte uns der Ultraschall 5 KLEINE WUNDER, gesunde Fruchthüllen, mit lebendigem Innenleben und pochendem Herzen. (...passte sehr gut zu unseren...)Wieviele es letztendlich werden, bleibt eine riesige Überraschung.
Wilma war mal wieder die Souveränität in Person. (Ganz im Gegensatz zu mir!) Sie hat zwar zwischendurch vor Unbehagen geschlottert, es aber trotzdem mit Ruhe und Geduld gemeistert. Eine absolut tolle Hündin.
Bitteschön, ein kleines Filmchen mit dem Titel: "5 auf einen Streich, oder wie es in den Bauch hineinschallt, schallt es auch wieder hinaus."
4.2.2012, 33.Tag: Hier sind also die Fotos der kleinen Flauschmonster in ihren Höhlen.
Sucht Euch doch schon mal einen aus:

...viele,

viele

bunte

Smarties

....?!!!

Nora & Wilma und die Mondlandschaft
5.2.2012, 34.Tag: An der Elbe ist es so schön an diesem sonnigen Sonntag. Wilma ist doch ein bißchen langsamer als sonst, aber glücklich dabei!
6.2.2012, 35.Tag: Die Ausbildung der Organe ist abgeschlossen. Die Föten sehen nun aus wie Hunde. Kopf und Rumpf sind unterscheidbar.
Das Geschlecht ist bestimmbar. Die Fellfarbe beginnt sich zu entwickeln. Der Herzschlag der Föten ist per Stetoskop hörbar.
Wilmas Zitzen können ab heute auch dunkler werden und anschwellen.
Wilmas Bauch gewinnt jetzt deutlich an Volumen. Wo bis vor ein paar Tagen noch nichts zu sehen war, wächst Masse. Nun beginnt für Wilma die beschwerliche Zeit. Viel hat sie zu tragen.
Und es wächst in uns der Eindruck, daß es nicht mehr allzu lange dauern kann...
7.2.2012, 36.Tag: Aktuelles Gewicht: 7,2 Kilo, Bauchumfang: 48cm.
Es sieht so aus, als würde Wilma diesmal deutlich dicker werden als letztes Mal. Obwohl es kaum vorstellbar ist, wie das gehen soll...Wilma, die kleine, dicke, kugelrunde Matrone.
9.2.2012, 38.Tag: Wilma frisst nicht. Gewicht: 6,9 Kilo. Das Gewicht wird weniger, der Bauch deutlich mehr. Trockenfutter und Barf will sie nicht. Heute habe ich ihr Bio-Dosenfutter gekauft.

Wilma beim Schlittschuhlaufen auf einem Fischteich im Wald.
10.2.2012, 39.Tag: Wilmas Milchbar öfffnet demnächst ihre Pforten. Sieht zumindest so aus. Ihre Zitzen haben sich sehr vergrößert und aufgestellt.
11.2.2012, 40.Tag: Wilma spuckt. Ihr Bauch wächst und wächst. Wo wächst er nur hin? Der Hund ist doch so klein. Wilma Tönnchen wird demnächst gerollt!
Heute wird gekauft, gebaut, geschraubt, verlegt, gehämmert, vorbereitet,...! Die Wurfbox bekommt ihren Platz in Josephines Zimmer, mit allem, was dazugehört. Große Aufregung also im Hause Blatzheim. Und jeder hilft mit. (Meine Güte was für Probleme... Kann mal jemand anders den neuen Fußboden vernünftig verlegen?)
Jetzt ist auch der letzte Zweifel verschwunden, daß bei uns tatsächlich in absehbarer Zeit das Wunder des Lebens geschehen wird...
18.00 Uhr: Nach ca. 7 Stunden Arbeit sind wir alle fix und fertig, aber dafür auch das Welpenzimmer:

So ein Welpengehege ist praktisch. Man kann darin schmusen, aber auch Hausaufgaben machen.

Schaut doch mal diesen unglaublich dicken Bauch an. Wo wächst er noch hin in den nächsten 3 Wochen?

Wilmas rasierter Bauch.

Auch Adele findet es gemütlich in der Wurfbox und liegt schon mal Probe..
Und eines ist klar: Wilma weiß, daß dies ihr zukünftiges gemütliches Domizil für die nächsten Wochen werden wird!!!
12.2.2012, 41.Tag: Ein langer Tag geht zu Ende. Wilma liegt jetzt völlig geschafft zu meinen Füßen.
Heute morgen hatten wir "Zukünftigen-Treff" am vereisten Elbstrand. Schön war es , sich gegenseitig ein bißchen kennenzulernen. Heute noch ohne, aber sicherlich bald MIT Hund, seht Ihr sie hier. Und sie warten alle geduldig schon sooo lange...!
Danach haben wir uns noch aufgemacht, um zu der Million "Wahnsinnigen" zu gehören, die diesen Sonntag die Alster betreten wollen. Was daran wahnsinnig ist, haben wir spätestens bei der Anfahrt und auf der Suche nach einem Parkplatz begriffen...

Josephine mit einer frierenden Adele auf der zugefrorenen Alster.

...die geduldigen, aufgeregten, wartenden, zukünftigen Eltern....

Wilma auf dem Eis.
13.2.2012, 42.Tag: Aktuelles Gewicht von Wilma: 7,6 Kilo, Bauchumfang: 51cm.
14.2.2012, 43.Tag: Wir sind schon in der 7.Woche. Wo ist die Zeit nur geblieben? Wilmas Bauch ist prall und kugelrund. Da die Knochen der Embryos sich jetzt verstärken, kann man sie durch die Bauchdecke fühlen. Theoretisch - so steht es zumindest geschrieben.
Wilma muss jetzt jeden Abend ausdauernd unsere diversen Hände auf ihrem Bauch erdulden. Bis jetzt ist nichts zu spüren.
"Hallo Ihr kleines Getrippel und Getrappel. Wo seid Ihr denn?"
23.00 Uhr: Tja, was soll ich Euch sagen? Sie sind da, zu fühlen in Wilmas Bauch und zwar ganz viele Mäußchen:
"In unserem Häußchen sind schrecklich viele Mäußchen.
Sie kribbeln und krabbeln, sie trippeln und trappeln
auf Tischen und Bänken, auf Stühlen und Schränken.
Sie stehlen und naschen und willst Du sie haschen,...husch...sind sie weg."
Aber seit heute, seit heute Abend, da sind sie da.... endlich!!!
Sind es Füße, sind es Nasen, ist es der Po? Keine Ahnung. Kleine Schmettelinge, die flattern. Sie strecken sich munter uns entgegen und KOMMUNIZIEREN!!!
Da ist er wieder, der Moment, der sich lohnt dies zu tun und wir möchten Wilma zutiefst danken. Weil sie uns und auch Euch das Wunder hautnah erleben läßt.
15.2.2012, 44.Tag: Hier ein kleiner Anhang von einer aufgeregt wartenden Elternschaft, voller Liebe auf Baldiges hoffend:
"Sie gucken und schnucken, sie raunen und staunen,
sie hibbeln und bibbeln,
sind aufgeregt wie Flundern und können sich nur wundern.
WW - Wilmas Wunder sind viele Wunderchen. Wieviele das wohl werden?"
20.00 Uhr: Für Wilma wird es beschwerlich. Die langen Spaziergänge sind wohl vorbei. Sie wird langsam. Trotzdem ist sie noch ein Schneckchen im Galopp...!
16.2.2012, 45.Tag: Aktuelles Gewicht: 7,9 Kilo, Bauchumfang 52cm.
Wilma bekommt zur Unterstützung ihrer Leibeskräfte ab morgen 3x täglich Schüssler Salze:
Calcium Phos.(2), Calcium Fluor(1), Magnesium Phos.(7)
17.2.2012, 46.Tag: Wilma frisst jetzt deutlich mehr. Ihr Appetit auf Rohernährung, oder Dosenfutter ist groß; Trockenfutter läßt sie stehen. Ihre Schwangerschaft ist deutlich zu sehen. Das Fell steht überall ab, fast so, als hätte sie einen Ball gefrühstückt!
Was hat sie denn am 46.Tag bei ihrer letzten Trächtigkeit gemacht? Tschüüüß, ich muss mal schnell im Archiv gucken...!
18.2.2012, 47.Tag: Es fühlt sich an, als wären wir im Endspurt für den Tag X. Die Aufregung steigt stündlich. Vieles muss noch besorgt, vorbereitet, nachgelesen und wieder verinnerlicht werden. Später ist so gar keine Zeit mehr für irgendetwas anderes als unsere Welpen. Unser Inneres dreht sich fast nur noch um Wilma. Sie wird gehätschelt und gestreichelt, von morgens bis abends verwöhnt. Wir haben fast das Gefühl, sie genießt diese beschwerliche Zeit auch. Kann ein Hund stolz sein? Oder projeziert man da schon wieder eigene Gefühle auf den Hund?

Wilmas Kugel-Bauch...Medinzinball verschluckt...?

Wilma
19.2.2012: 48.Tag: Heute haben wir mal wieder einen längeren Spaziergang, den obligatorischen Sonntagsmarsch, mit Keks gemacht. Wilma ist super mitgelaufen, zwar im "Schneckengalopp", wie gesagt, aber immerhin...
Für Emilie und mich gibt es nichts Schöneres, als unsere ausgedehnten Stunden in der Natur. Bald wird das nicht mehr möglich sein...
Wilmas Bauchumfang: 53cm
21.2.2012, 50.Tag: Wir sind in der 8.Woche. Die Natur tut ihr Möglichstes dazu: Wilma verliert büschelweise Fell am Bauch. Damit die Mäuse bald ungehindert an ihre Zitzen kommen.
Und die Welpen? Aus Schmetterlingen sind Sportler geworden: Fussballer, Boxer, Hand-& Volleyballer, Akrobaten und Bodenturner,....Es rumpelt im Bauch.
Bis zum 58.Tag müssen die Kleinen noch in Wilmas Bauch ruhen. Dann ist ihre Organentwicklung abgeschlossen, die Lungen sind gereift und die Welpen überlebensfähig. Ab da dürfen sie geboren werden.
Wilma hat ihren Schlafplatz jetzt in meinem Zimmer. Sie ist sehr anhänglich, wir aber auch...
22.2.2012, 51.Tag: Alles ist anders bei uns. Das wußte ich sowieso schon immer. Aber jetzt wird es deutlich:
Die vielen Tiere nehmen unseren Raum ein. Ausgenommen Emilie, die liegt wie immer brav in ihrem Körbchen in der Küche. Adele aber, schläft jetzt plötzlich in der Wurfbox. (alte Erinnerungen???) Minusch und Valentin(!!!?)füllen Wilmas neues Schlafgemach in meinem Zimmer aus (bekloppt?!!!) und Wilma hat den Chefinnenplatz AUF meinem Bett erbeutet. Stolz schaut sie auf alle herunter.
(Ein dicker Schwanger-Bauch soll ja gemütlich ruhen...) Im Hause Blatzheim tanzt mal wieder der Bär. Wahrscheinlich wird es später im Park dann auch recht spannend.
Wilmas Bauch hat übrigens inzwischen die Form eines Zeppelins erreicht. Vielleicht lernt sie ja auch noch fliegen...
23.2.2012, 52.Tag: Ohje, Wilma schnarcht. Außerdem ist sie ziemlich unruhig. Sie wandert. Wie soll ich da einschlafen?
Der Milcheinschuß hat eingesetzt - die Milchbar ist schon eröffnet. Die beiden unteren Zitzen sind dick geworden. Wilma ist zu Fuß immer noch gut dabei, allerdings langsam und beschwerlich. Sie ist bester Dinge und sehr anhänglich.
Aktueller Bauchumfang Wilma: 55cm, Gewicht: 8,1 Kilo / Adele vergleichbar: Bauchumfang: 38cm, Gewicht: 4,5 Kilo / Emilie???
24.2.2012, 53.Tag: Noch 10 Tage bis zum errechneten Geburtstermin...
Wilmas Scheide ist jetzt deutlich vergrössert. Alles wächst, innen, wie aussen.
Inzwischen bekommen wir vermehrt Mails von der aufgeregt wartenden Elternschaft:
Unsere Babys haben schon ihre zukünftigen Namen: Da gibt es jetzt Billy-Brösel, Balu-Blue, Benny, Berta und Bella von Wilmas Wunder.
Und noch viele Namensideen für die Hunde, die der Schall vielleicht nicht gezeigt hat:
Was haltet Ihr von: Brezel, Bonsai, Bert, Bruno, Ben, Biene, Birte, Blümchen(Noras Favorit)???
Aber das lange Warten hat auch Namen bekommen: Hibbeligkeit, Aufregung, Unruhe, Herzklopfen, Herzrasen,...Eigentlich sind es ja "nur" 9 Wochen Wartezeit, aber auch die sind lang; gefühlte Unendlichkeit...
25.2.2012, 54.Tag: Noch 9 Tage bis zum errechneten Geburtstermin...
Inzwischen ist Wilma wie eine Schildkröte auf dem Rücken: sie kann sich nicht mehr richtig kratzen und das macht ihr manchmal zu schaffen. Auch ihre Körperhygiene muss sie notgedrungen vernachlässigen. Sie verliert jetzt mehr Schleim. Ich säubere sie stetig, da sie keine Chance mehr hat, es selbst zu tun.
Sie ist nach wie vor sehr fit. Allerdings sind die Wetterbedingungen zum Spaziergang dieses Jahr auch deutlich besser, als letztes. Ich habe die Vermutung, daß sie mehr Fruchtwasser hat. Die Babys sind weniger klar zu spüren. Sie zapperln ordentlich, aber bisher können wir keine Körperteile identifizieren...
Aktueller Bauchumfang: 55cm, Gewicht: 8,7 Kilo.
Ab morgen öffnet das Blankeneser Wettbüro. Dann können Schätzungen abgeben werden, wieviele Wunder es werden.
Die Trophäen sind leckere Knabbereien für Jung und Alt (Zähne sollten schon vorhanden sein):
1.Preis ist ein leckerer Pesel, 2.Preis ein Rinderohr-getrocknet selbstverständlich, und beim 3.Preis handelt es sich um ein Stück übelst riechenden Pansen. Viel Spass und guten Appetit!!!
26.2.2012, 55.Tag: Endphase; noch 8 Tage bis zum errechneten Geburtstermin....
Jetzt ist es ein Hoffen und ein Bangen, wie jedes Mal. Die Babys müssen sich mindestens bis zum 58.Tag in Wilmas Bauch gedulden. Erst dann sind ihre Lungen fertig entwickelt.
Wilma hechelt zwischendurch immer wieder. Wahrscheinlich sind es Senkwehen. Der Bauch ist noch ganz oben. Aber das macht uns wahnsinnig. Wir möchten sie nicht mehr aus den Augen lassen. Wie gut sie das diesmal mit ihrer Terminplanung gemacht hat. Ihr Stichtag fällt über das Wochenende genau auf den 1.Tag der Hamburger Frühjahrsferien...!
Bitte, bitte Daumen drücken. Für uns hat das Warten jetzt den Höhepunkt der Unerträglichkeit erreicht.
17.00 Uhr: Die Wehen sind vorbei (ein Glück!), der Bauch ist noch oben. Allerdings hat sich doch etwas verändert:
Wilmas Spaziergangbereitschaft ist vorbei. Heute auf dem Weg durch Blankeneses Parks an die Elbe bei herrlichstem Frühlingssonnenschein mußte ich nach 10 Minuten umdrehen. Wilma ist in die Stemmeisen gegangen. Sie ist mehrfach stehengeblieben, mit einem Blick, als würde sie mir einen Vogel zeigen. Dann hat sie gesagt:" Nix geht mehr - Schluss, Ende aus - trag mich jetzt lieber nach Haus."
Na, und das habe ich dann auch getan. Knapp 9 Kilo auf dem Arm können ganz schön schwer sein...!

Wilma hat sich in der Breite deutlich verdoppelt. Hauptsache, der Bauch schleift nicht auf dem Boden...

Wilma Blümchen

Wilma Häschen
Übrigends war Wilma mal wieder in Josephinchens Friseurstübchen. Dort wurden ihr die restlichen Haare an den Zitzen weggeschnitten, die nicht ausgefallen waren. Bei den oberen Zitzen war die Natur etwas sparsam. Da fiel ordentlich Fell.
Wettbüro: 1 Wette mit 5 Welpen ist bisher eingegangen. Wie stets???
27.2.2012, 56.Tag, Start der 9.Woche: noch 7 Tage bis zum errechneten Stichtag: Alles bestens. Wilma geht es gut.
Wettbüro: 1x7 und 1x8 Welpen wurden geschätzt... Jetzt steht es 5:7:8. Gibt es noch andere Ideen?
Wettbüro: 3x6 Welpen sind deutlich gesehen worden. Es wird spannend. Es steht jetzt 5:6:7:8. Wer bietet mehr?
Wettbüro: OhOh, 1x9 Welpen werden erkannt...Es steht also: 5:6:7:8:9. War es das?
17.30 Uhr: Wilma bekommt jetzt zusätzlich zu den Schüssler Salzen Unterstützung von der Homöopathie: Pulsatilla D12. Außerdem erhält sie täglich 1 Frubiase Calcium Fruchtampulle ins Futter. Um den Vorwehen mit Vorsicht zu begegnen wird sie jetzt mit Calcium vollgestopft.
28.2.2012, 57.Tag: noch 6 Tage bis zum errechneten Geburtstermin: Alles gut, alles drin!!!
Die Nacht heute war schon ein Vorgeschmack auf das, was kommt. Unruhe und Schlaflosigkeit waren das Motto. (Hundemüde...) Gestern Abend hat sie wieder 1x kurz gehechelt. Ich möchte sie am liebsten keine Sekunde mehr aus den Augen lassen. Das Schöne mit ihr ist, daß sie alles, was sie möchte, mit uns kommuniziert. Wir verstehen sie auch ohne Worte.
Die kleine Maus ist sooo unbeweglich und dick geworden. Da fragt man sich wieder, wieso man das alles initiiert hat...
Aktuelles Gewicht: 8,9Kilo, Bauchumfang: 58cm.
Ab heute muss Wilma 3x täglich Temperatur messen. Das hilft uns, ungefähr zu erahnen, wann die Geburt losgeht.
Da passiert Folgendes: Durch die Hormone sinkt die Körpertemperatur der Hündin in der Woche vor der Geburt der Welpen auf ca. 37,5° ab. Wenn dann noch der Progesteronspiegel sinkt, geht die Temperatur für einen kurzen Zeitraum nochmal ca. 1 Grad runter. Steigt dann die Temperatur wieder, ist das ein ziemlich sicheres Zeichen, daß die Geburt innerhalb von 24 Stunden beginnt. Also aufgepasst, heute geht es los mit dem Messen:
9.00Uhr: 37,7°; ein kurzer Ausflug in den Park gegenüber, 3 Schritte, sich 2x gelöst und dann wieder ihr obligatorischer Blick: "Ich geh dann schon mal nach Hause". O.k., ich geh mit! (Emilie nehme ich dann nicht mit. Die bekommt sonst eine Depression...)
12.00Uhr: 37,6°; sie frisst und schläft und freut sich.
16.40Uhr: 38° für das Temperaturmessen gibt es eine große Scheibe Salami. Das lohnt sich richtig stillzustehen!!!
29.2.2012, 58.Tag: nur noch 5 Tage bis zum errechneten Geburtstermin.
Wenn sie heute geboren werden, haben sie nur alle 4 Jahre Geburtstag. Es sieht aber nicht danach aus; die Temperatur ist hoch:
7.00Uhr: 37,7°; juhu!!! Wir können wieder ein bißchen entspannen. Ab heute dürfen die Mäuse geboren werden. Ich bin unendlich froh, dass Wilma diesen Meilenstein endlich gemeistert hat...
Eine ruhige Nacht liegt hinter uns. Ein Glück. Wilma schläft meist auf dem Bauch. Das kann doch nicht gemütlich sein...???
Sie frisst jetzt deutlich kleinere Portionen. Da ist kein Platz mehr im Bauch...Wir füttern sie dafür öfter.
Ihr Fell ist ein bißchen zerrupft. Es wird wohl mal wieder Zeit für Josephines Friseurstübchen.
Emilie ist unser Stimmungs-, und Stressbarometer. Ein anstrengender Job ist das. Beim Spaziergang merkt man ihr das deutlich an: sie stellt im Moment bei Begegnungen mit anderen Hunden stetig das Fell, als ob sie eine Hyäne wäre. Auch sie steht extrem unter "Strom". Wenn man sich den Hund im Außen anschaut, kann man genau erkennen, was bei uns im Innen los ist.
Und der Weg bis zum heutigen Tag war sehr sehr sehr aufregend und nervenzerrend!!!
Adele ist süß, wie immer. Sie ist unsere liebevolle Trösterin für jede Lebenslage. Sie wundert sich nur ein bißchen, daß Wilma nicht mehr mit ihr tobt!
10.30Uhr: In Wilmas Bauch tobt das Leben. Ab dem Rippenbogen erhebt sich auf beiden Seiten die große "Bauch-Beule". Und eines ist mir gerade klar geworden:
Von wegen Sportler und so...Es sind alles Handwerker!!! Sie hämmern und klopfen, sie bohren und treten,...Restauration, Abriss, Instandhaltung, Aufbau - alles dabei. Und es rumort überall in ihrem Körper.
Das scheint eine Komplettvermietung zu sein!!!
11.00 Uhr: 37,9°
18.00 Uhr: 37,7°
Und jetzt kommt´s: Wilma bricht alle Rekorde: Bauchumfang: 60cm, Gewicht: 9 Kilo!!! Ihr könnt Euch sicher denken, daß ich Angst habe, daß bei dieser Körperfülle, Selbiges demnächst platzt!!!
1.3.2012, 59.Tag, noch kaum mehr Tage bis zur Geburt:
7.00 Uhr: 38,2°; alles zappelnd drin in einer wankenden, schwankenden Wilma. Sie frißt nicht. Mmh,...??? Ich gebe einen Tip ab. Aber bitte ohne Gewähr, sollte es nicht stimmen: morgen geht die Temperatur runter und die Geburt in Gange...!
Wißt Ihr eigentlich, was ein schwangerer Hund bedeutet? Wir haben da mittlerweile so unsere Rituale. Wilma sagt, wie es geht:
Z.B.: Sie steht VOR meinem Bett und schaut mich an; ich hebe sie hoch. Sie steht AUF meinem Bett und schaut mich an; ich hebe sie runter. Sie steht VOR den Treppen im Hausflur und schaut mich an; ich trage sie runter. Sie steht VOR den Treppen im Hausflur und schaut mich an; ich trage sie hoch. Sie steht an der Straße zum Park uns schaut mich an, ich trage sie rüber-sie ist ja sooo langsam! Wir stehen nach 2x Pipi und Co
auf der anderen Seite, sie schaut mich an - und ich sage, so jetzt ist aber mal Schluss. Ein bißchen darfst Du Dich auch noch bewegen.
Ich bin zur hauseigenen Mama für meinen Hund geworden. Ich tue alles für sie, was sie nicht mehr schafft. Im Notfall kratze ich sie sogar...Und ganz ehrlich, wenn es nicht so super beschwerlich für sie wäre, würde ich denken, sie genießt es...!

Unser Geburtshaus
Mein Zimmer wurde auch umgebaut. Wir haben uns entschieden, das große Ereignis dort stattfinden zu lassen. Die Babys und Wilma werden die ersten Tage bei mir bleiben. Alle sind so noch besser und einfacher im Blick und für Wilma ist es kein Schock, auf einmal mit ihren Kindern allein zu sein...
Unsere tolle Tierärztin ist für Notfälle auch in der Warteschleife. Ich darf sie jederzeit anrufen. Von ihr habe ich 2 Spritzen mit dem Hormon "Oxitocin" bekommen. Dieses Hormon ist für die Wehentätigkeit und die Milchbilung zuständig.
Ich bin aber lieber mit unserer reichlich ausgestatteten homöopathischen Hausapotheke dabei. "Caulophyllum thalictroides" D4 hat hoffentlich den gleichen Effekt.
11.00 Uhr: 38,1°; sie weiß schon, was ich von ihr möchte, sobald ich mit der Salamischeibe unterwegs bin: lecker Temperaturmessen!
Wilma weiß nicht mehr, wie sie liegen soll. Sie ist unruhig.
11.45 Uhr: Wilma hechelt; sie wandert. Sollte es heute schon losgehen? Jetzt? Sie beobachtet mich die ganze Zeit, ich auch sie. Wir spielen Kino...
12.00 Uhr: Jetzt ist wieder Ruhe. Ich werde wahnsinnig. Wer ist eigentlich auf die Idee gekommen, unbedingt Hunde züchten zu wollen???
12.40 Uhr: sie hechelt wieder. Und auch nicht...Oh weh!!! Bei diesen eindeutigen Vorzeichen ist auch nur eine eindeutige "Vielleicht-Diagnose" möglich...
13.00 Uhr: Sie frisst nicht, sie hechelt. Eröffnungswehen? 100% sicher bin ich immer noch nicht.
14.00 Uhr: alles wie immer, ABER die Temperatur fällt: 37,3°
15.00 Uhr: "gut Ding will Weile haben." Das dauert noch. Meist kommen die Babys nach 24.00 Uhr, Richtung Morgen. Also es tut sich auf jeden Fall etwas. Aber wie schnell???
Da gibt es doch tatsächlich eine Familie, die hechelt mit:"Ohmmmmmmmmmmmmmm". Wer macht mit? Vielleicht geht es dann schneller???
15.15 Uhr: Wilma atmet viel schneller. Langsam, langsam machen sich hoffentlich viele kleine Wunder auf den Weg..........
17.00 Uhr: Interessant. Unser Wettbüro nimmt neue Wetten entgegen:
Geburtstermin: Tipp1: 2.3.2012, zwischen 24.00-1.00Uhr, Tipp2: zwischen 3.00-6.00Uhr, 3.Tipp: zwischen 12.00-14.00Uhr.
Wilma ist abwesender, liegt ruhig, schlafend und atmet schnell.
17.30 Uhr: 37,5°, kein Hecheln mehr.
18.45 Uhr: die Welpen treten munter. Es kommt mir so vor, als ob alle durch die Hormone besonders lebendig werden.
20.33 Uhr: Also es stagniert jetzt. Ich mache mal ein Päuschen und melde mich wieder, sobald es eindeutig weitergeht. Schlaft schön!
2.3.2012, 60.Tag, 6.45Uhr: 37,4°: für Wilma liegt eine ruhige Nacht hinter ihr. (Für mich leider nicht so...) Die Wehentätigkeit hat sich eingestellt. Wir müssen weiter warten. Wilma frisst.
Wettbüro: wider Erwarten hat jetzt Tipp3 die größte Chance auf den Jackpot!
Tipp4: 15.00-17.00Uhr,Tipp5: 20.00-23.00Uhr.
11.40 Uhr: 37.5°: Das pralle Bienchen läßt sich jetzt Zeit und macht keine Anstalten für irgendetwas. Das dauert noch. Jetzt ist wahrscheinlich die Ruhe-& Rekonvaleszenzzeit. Das können wir alle gebrauchen...
17.00 Uhr: 37,5°: Der Bauch hat sich gesenkt. Statt der fruchtigen Birnenform trägt Wilma jetzt rustikale Tonne. (Was würde wohl Heidi Klum sagen?)
21.00 Uhr: Ab und an wird hier mal kurz gehechelt (eher selten), sonst gefressen und geschlafen. Das solltet Ihr auch tun. Liebe Grüße aus einem ruhigen Blankenese...
3.3.2012, 61.Tag, 9.00Uhr, 37,5°: Eine lange, ruhige, gemütliche Nacht liegt hinter uns. Es arbeitet in ihr. Der Bauch ist zwischendurch hart. Aber sichtbare Wehen bleiben aus. Sie frisst nicht. Wilma macht es richtig spannend!!!
Wettbüro: Geburt am 5.3.12, 5.03Uhr, mit 8 Welpen, 5Rüden & 3Hündinnen. Der Tipp kommt aus Schwaben. Vielen Dank!
14.30 Uhr: 37°: na das ist doch mal was! Die Temperatur fällt...
Wettbüro: 4.3.12, 5.00-7.00Uhr, 9Welpen, 4Mädels, 5Jungs.
Wettbüro: Geburt heute noch, aber zu einer nichtschlafenden Zeit. (Danke, mit Anteilnahme an uns...)
Da soll es übrigens laut unserer Welpeneltern jetzt den "Wilma-Mass-Index" für Havaneser geben, zum Thema Größe, Gewicht und Geburtsereignis. Wilma wird berühmt!!!
Im Hause Blatzheim ist ansonsten alles ruhig.
18.00 Uhr: 37,5°: der Temperatur steigt wieder. Also können wir rein THEORETISCH mit dem Einsetzen der Geburt innerhalb der nächsten 24 Stunden rechnen.
Ich habe nochmal ein bißchen recherchiert: durch Welpen und Mama wird das Hormon "Cortisol" gebildet. Dieses Hormon unterstützt die Östrogenwirkung und hemmt die
trächtigkeitsunterhaltende Wirkung des Progesterons. So löst sich gegen Ende der Trächtigkeit der Gelbkörper am Eierstock auf, seine Progesteronbildung sinkt. Durch die zunehmende Östrogenwirkung werden die Geburtswege schlaffer und weicher. Die
Welpen sind also genauso ausschlaggebend für den Start der Geburt, wie die Mama.
21.50 Uhr: Keine Wehentätigkeit zu vermelden. Schlaft schön, bis morgen.
4.3.2012, 2.00 Uhr: Wilma ist unruhig, sie wandert.
3.30 Uhr: Wilma hechelt. Sie ist sehr schmusig und sucht Schutz bei mir.
3.50 Uhr: bei stärkeren Wehen fühlt man am Bauch Beulen. Das könnte jetzt endlich etwas werden....
4.30 Uhr: alles macht einen guten Eindruck. Unsere Wunder machen sich auf für ihre erste Reise...
4.45 Uhr: Wilma buddelt. Die Welpenstube wird einmal komplett umgebaut.
8.00 Uhr: Guten Morgen. Wie war das noch? Gut Ding will Weile haben...Wilma hechelt und ist guter Dinge. Am liebsten liegt sie in ihrem Geburtshaus. Wir haben eine Decke darüber gelegt. Jetzt ist es noch gemütlicher geworden und bietet Schutz.
10.00 Uhr: das pralle Bienchen hechelt und ist schon ganz schön geschafft. Aber die größte Anstrengung kommt ja erst noch....
Im Garten fängt sie an Löcher zu buddeln. Das erinnere ich auch noch von letztem Mal.
Ihre Scheide ist nach wie vor nicht geschwollen und von Schleim ist auch nichts zu sehen. Das dauert noch.
Meine Nerven liegen so langsam blank!!!
Zur Ablenkung ein bißchen THEORIE zur Geburt gefällig? Bitteschön:
Die Geburt des ersten Welpen beginnt mit dem stärker gefüllten Gebärmutterhorn und wird dann wechselseitig weitergeführt. (Die Hündin besitzt zwei Gebärmutterhörner.)
Durch Wehen wird der erste Welpe in Richtung Gebärmutterkörper gepresst. Unmittelbar davor wird beim austreibenden Horn eine sogenannte Gebärmutterhornmündungssperre weit gestellt und die des ruhenden Hornes eingeengt, sodaß nicht zwei Welpen gleichzeitig in den Geburtskanal treten können.
Der Welpe tritt in der Fruchtblase ins Becken und dann aus der Scheide. Er wird in Kopf- oder Steisslage geboren. Die Fruchtblase muss geöffnet werden, sobald der Welpe mit dem Kopf ausgetreten ist.
Wir werden bei der Geburt jedes Welpen sofort festhalten: die Geburtszeit, das Geschlecht, das Gewicht, die Farbe, optische Fellbesonderheiten, die Geburtslage und das Vorhandensein der Nachgeburt. Das kann alles sehr hektisch sein. Deshalb ist es wunderbar, daß wir zu viert sind!
Die Welpen werden von den Kindern trockengerubbelt, um Kreislauf und Stoffwechsel anzuregen. Außerdem muss evt. das Fruchtwasser aus der Atmung gezogen werden, bzw. der Welpe vorsichtig "ausgeschlagen" werden.
12.45 Uhr: ...es dauert; keine Presswehen in Sicht. Jetzt darf Wilma das Gleiche machen, was jede Schwangere in dieser Situation tun würde: sie geht spazieren!!!
Im Garten buddelt sie munter. Wir harren der Dinge.
14.30 Uhr: laufen, buddeln, hecheln, laufen, buddeln, hecheln, laufen, buddeln, hecheln,...keine Presswehen.
15.20 Uhr, 37,3°: alles auffällig unauffällig. Die Warterei ist kaum mehr auszuhalten!!!
Wie war das noch mit Herzklopfen, Herzrasen und der obligatorischen Herztablette?
LICHT IM HIMMEL
LICHT IN MIR
LICHT DURCH MICH
AUF ERDEN HIER
Unsere kleinen Lichter, unsere*** 8 ***kleinen Wunder sind da: 6 Rüden und 2 Hündinnen
Ab 17.00 Uhr kamen die ersten Presswehen. Wilma machte beim Sitzen den Kopf in den Nacken.
Ab 17.35 Uhr kam der erste pralle Rüde zur Welt, um 19.40 Uhr der letzte.
Hier gibt es viel Freude, aber auch viele Tränen, denn eine Hündin ist leider sehr schwach und die Kinder reanimieren sie seit über 1 Stunde. Wie ihre Chancen sind, ist leider fraglich.
24.00 Uhr: "Bo Blümchen von Wilmas Wunder" hat es leider nicht geschafft...
Die Kleine hatte eine Schnappatmung. Ihre Lungen waren noch nicht fertig ausgebildet. Sie ist schlicht und einfach zu früh geboren worden. Das Sperma des Rüden hält sich in der Hündin bis zu 7 Tagen.
Und Bo Blümchen ging leider einfach später in Poduktion.

Wilmas Wunder

der Austritt von Bruno in Kopflage in der Fruchtblase
Dem Blankeneser Filmfestival ist ein Filmchen gelungen. Es wurden keine Kosten und Mühen gescheut. Bitteschön, seid...
...live bei der Geburt von Benjamin-Bonsai dabei...